Описание
Продуктовый портфель компании включает широкую линейку мобильных рентгенохирургических систем типа «С-дуга» различной мощности для проведения интраоперационного рентгеноконтроля, малоинвазивных и интервенционных вмешательств в различных нозологиях: в ортопедии и травматологии, абдоминальной хирургии, урологии и гинекологии, в сосудистой хирургии и кардиохирургии.
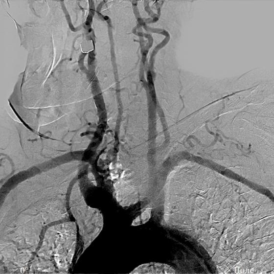
Высокое качество изображения на мобильных рентгенохирургических аппаратах СРТ достигается за счет цифровой системы визуализации, которая позволяет видеть даже самые мелкие дефекты и патологии. Модель «СРТ» с плоскопанельным детектором обеспечивает визуализацию даже сосудов. Режимы импульсной рентгеноскопии, рентгеноскопии с пониженной дозой и рентгеноскопии повышенного качества в сочетании с широким набором программ органоавтоматики, которые учитывают возраст и комплекцию пациента, позволяют получать качественное изображение при минимальной дозовой нагрузке.
Благодаря эффективной системе охлаждения излучателя обеспечивается высокая длительность рентгеновского контроля, обусловливающая использование аппарата для широкого спектра диагностических и лечебных хирургических манипуляций на сердце и сосудах. Режим субтракционной ангиографии, сосудистый пакет, маршрутизация и возможность выбора маски создают необходимые условия для успешного применения аппарата в коронарографии, ангиографии и при контроле электрофизиологических процедур.
Широкий диапазон перемещения С-дуги во всех направлениях, в том числе поворот на угол 180 градусов, в сочетании с возможностью передвигать систему вдоль и поперек стола без поворота основания повышает удобство позиционирования и оставляет больше пространства для хирурга. Пульт для разблокировки перемещений и вращения дуги, а также для поворота панели непосредственно на детекторе, панель управления с функциями выбора режимов съемки и опцией трансляции динамического изображения в реальном времени делают комфортным проведение сложных процедур.
Все модели линейки имеют общую платформу и программно-аппаратное обеспечение с единым пользовательским интрефейсом на русском языке. Это обеспечивает удобство работы и быстрое обучение персонала, что особенно актуально при использовании нескольких аппаратов в одном ЛПУ.
Технические решения, используемые в линейке мобильных систем СРТ, позволяют при необходимости осуществлять дистанционное подключение в режиме онлайн для диагностики и устранения неполадок, а также настройки системы в соответствии с пожеланиями пользователей.
ПодробнееСкрыть
Высокое качество изображения на мобильных рентгенохирургических аппаратах СРТ достигается за счет цифровой системы визуализации, которая позволяет видеть даже самые мелкие дефекты и патологии. Модель «СРТ» с плоскопанельным детектором обеспечивает визуализацию даже сосудов. Режимы импульсной рентгеноскопии, рентгеноскопии с пониженной дозой и рентгеноскопии повышенного качества в сочетании с широким набором программ органоавтоматики, которые учитывают возраст и комплекцию пациента, позволяют получать качественное изображение при минимальной дозовой нагрузке.
Благодаря эффективной системе охлаждения излучателя обеспечивается высокая длительность рентгеновского контроля, обусловливающая использование аппарата для широкого спектра диагностических и лечебных хирургических манипуляций на сердце и сосудах. Режим субтракционной ангиографии, сосудистый пакет, маршрутизация и возможность выбора маски создают необходимые условия для успешного применения аппарата в коронарографии, ангиографии и при контроле электрофизиологических процедур.
Широкий диапазон перемещения С-дуги во всех направлениях, в том числе поворот на угол 180 градусов, в сочетании с возможностью передвигать систему вдоль и поперек стола без поворота основания повышает удобство позиционирования и оставляет больше пространства для хирурга. Пульт для разблокировки перемещений и вращения дуги, а также для поворота панели непосредственно на детекторе, панель управления с функциями выбора режимов съемки и опцией трансляции динамического изображения в реальном времени делают комфортным проведение сложных процедур.
Все модели линейки имеют общую платформу и программно-аппаратное обеспечение с единым пользовательским интрефейсом на русском языке. Это обеспечивает удобство работы и быстрое обучение персонала, что особенно актуально при использовании нескольких аппаратов в одном ЛПУ.
Технические решения, используемые в линейке мобильных систем СРТ, позволяют при необходимости осуществлять дистанционное подключение в режиме онлайн для диагностики и устранения неполадок, а также настройки системы в соответствии с пожеланиями пользователей.
Преимущества
Высокое качество изображения- Современная цифровая система визуализации
- Автоматизированные программные фильтры для обработки изображения
- Широкий набор программ органоавтоматики
- Съемный растр
Маневренность и комфорт в использовании
- Простота транспортировки внутри и между операционными
- Удобство установки около стола
- 5 степеней свободы перемещения штатива
- Моторизованный орбитальный поворот С-дуги на угол 180 градусов для проведения оперативных вмешательств в различных укладках
- Специальная конструкция колес, благодаря чему стойка штатива может перемещаться в продольном, боковом направлениях, а также по диагонали под произвольными углами
- Сенсорный многофункциональный пульт управления с возможностью вывода «живого» изображения



Многофункциональность
- Высокая длительность рентгеновского контроля
- Сосудистый пакет
- Цифровая субтракционная ангиография (DSA)
- Функция Road Map
Безопасность и низкая дозовая нагрузка
- Рентгеноскопия с пониженной дозой
- Виртуальная коллимация
- Широкий выбор программ органоавтоматики
- Съемный растр
Надежность и долговечность
- Эффективная принудительная система охлаждения
- Высокая теплоемкость анода
- Высокая скорость охлаждения моноблока
Заинтересовал аппарат?
Санкт-Петербург: +7 (812) 325-02-02


